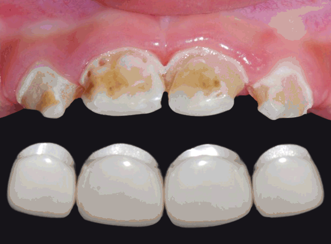
Aesthetic (white zirconia) crowns of the upper front four teeth

“Laughing gas” sedation for anxious children

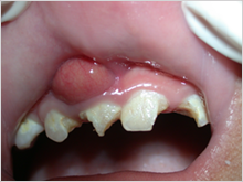
Gum boil arising from a decayed, infected tooth

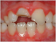
Traumatised, fractured permanent teeth in a young child
 
BEHAVIOUR MODIFICATION & PAIN MANAGEMENT:

Behaviour modification and shaping+

Our team of dentists are specially trained and equipped to help anxious children feel safe and comfortable during dental treatment. Our clinic is designed for children and our staff are patient, caring and most importantly, love being with kids.

Computerised local anaesthesia delivery system+

The Kids Dentist is constantly implementing new technology to help us deliver dental care in the most comfortable manner for children. For treatment requiring numbing of the tooth, we use a computerised sensor-controlled local anaesthetic system instead of a traditional needle syringe. This helps to reduce the discomfort associated with injections and minimise the anxiety for the child.

Oral sedation and laughing gas sedation+

Our practice uses either oral sedation or nitrous oxide (aka "laughing gas") sedation to help the anxious child relax and allow the dentist to safely perform the necessary dental treatment. Our practice does not advocate the use of intravenous sedation for the management of children.

General anaesthesia+

In cases where the child is extremely anxious, comprehensive dental treatment may be performed under general anaesthesia (GA). Our practice engages only well-qualified paediatric anaesthetists for GA.

RESTORATIVE DENTISTRY:

Paediatric crowns (aesthetic and stainless steel)+

A stainless steel or a white zirconia aesthetic crown is usually recommended when there is extensive damage to multiple surfaces of the baby tooth from cavities or trauma. Paediatric crowns generally last longer than traditional fillings. Stainless steel and white zirconia crowns have their respective advantages and disadvantages. Feel free to consult with your child’s dentist on what would be best suited for your child.

Root canal treatment (pulpotomy and pulpectomy) for baby teeth+

A cavity (dental decay) that involves the nerve (pulp) of the tooth may cause a child to have a bad toothache. Such badly affected tooth will require a root canal treatment in order to restore it back to health. Depending on the extent of bacterial invasion in the root canal space of the tooth, a pulpotomy or pulpectomy may be indicated. A pulpotomy consists of removal of the top half portion of the nerve in the tooth while pulpectomy involves the removal of all the nerve in the root canal system of the tooth. Medicaments are used to disinfect the root canal as well. Following a root canal treatment, a crown is recommended to provide reinforcement for the tooth.

Leong’s premolars (aka dens evaginatus)+

Some adult premolar teeth may have a protruded portion of tooth structure on the biting surface, which may fracture easily and expose the nerve (pulp) of the tooth. Preventive restoration can be placed if the protrusion is identified early. For young premolar teeth with infection of the pulp, a technique called revascularisation (or regenerative endodontics) can be done to treat such teeth.

White fillings without mercury+

For the safety of our patients and the environment, we do not use mercury-containing silver (amalgam) fillings in our practice.

DENTAL TRAUMA AND SPORTS DENTISTRY:

Management of fractured teeth+

We provide immediate management for fractured and displaced primary and permanent teeth. Should your child suffer from a dental trauma, we advise that you make a dental appointment for your child promptly so that appropriate treatment and/or advice can be rendered. We also manage long-term trauma complications such as abscess and discolouration.

Sports mouthguard+

We recommend sports mouthguard for children and youths who are involved in contact sports to prevent traumatic injury to the teeth. In our practice, we fabricate customised sports mouthguard.

PREVENTIVE & MINIMAL INTERVENTION DENTISTRY:

Silver diamine fluoride+

Silver diamine fluoride is a topical, non-invasive medicament that can be applied to the dental cavity to help arrest the progression of dental decay. It can be an effective way to stabilise dental decay but also has its drawbacks. Discuss with our paediatric dentists to see if your child is a suitable candidate for silver diamine fluoride application.

Home and professional fluoride therapies+

Fluoride has been proven beneficial in the prevention of tooth decay and tooth sensitivity. Fluoride treatment and application will strengthen your child’s teeth against tooth decay. We customise our fluoride therapy according to the dental decay risk of the child.

Pit and fissure sealants+

The chewing surfaces of your child's teeth are not smooth and flat. They are criss-crossed with tiny hills and valleys, called pits and fissures. These are places where plaque can build up and cause cavities. Sealants will prevent tooth decay especially in newly erupted permanent molars.

Removable orthodontics+

Our practice can help to fabricate simple retainer-type braces to correct a simple crossbite, usually the anterior.

Space maintainers+

A space maintainer (or spacer) is recommended to preserve a space in the arch if a tooth is lost prematurely. Space maintainers can help to prevent shifting and crowding in the adult dentition.

Habit-breaking appliance+

If you child has an oral habit such as sucking thumb or the pacifier, the growth of the jaws and the teeth may be affected overtime, resulting in aesthetic and speech problems. At The Kids Dentist, we offer advice and strategies as well as fabricate custom-made oral appliances to help your child to stop these habits.

 
     
 
 
 
     Contact Information

Go To Desktop View